Profesyonel Beyazlatma.
Çarpıcı Sonuçlar.
Klinik beyazlatmada profesyonel standardı keşfedin. Sadece tek bir seansta, uzmanlarımız gülüşünüzün parlaklığını güvenle geri kazandırır; doğal mine yapınıza uygun şekilde, gözle görülür 3 ila 6 ton beyazlatma sağlar.

Neden Profesyonel Beyazlatmayı Seçmelisiniz?
Reçetesiz satılan ürünler, klinik tedavinin gücü, hassasiyeti ve güvenliğiyle kıyaslanamaz. Profesyonel beyazlatmamız, evde yapılan yöntemlerin basitçe ulaşamayacağı sonuçlar sunar.
Klinik Mükemmellik. Gözle Görülür Dönüşüm.
Kliniğimiz, gelişmiş lazer beyazlatma teknolojisini yalnızca lisanslı diş hekimliği muayenehanelerinde temin edilebilen profesyonel güçte jellerle birleştirir. Her tedavi, konforunuzu ve güvenliğinizi sağlayan deneyimli diş hekimleri tarafından uygulanır.
Kliniğimizde Sizi Neler Bekliyor
Dişlerinizi değerlendirmek ve beyazlatma hedeflerinizi konuşmak için diş hekimimizle görüşün
Diş etlerinizi korur ve profesyonel sınıf beyazlatma jelimizi uygularız
Gelişmiş lazer ışıklandırma, 60-90 dakika boyunca beyazlatma sürecini hızlandırır
Neler Dahil?
- Kapsamlı diş muayenesi
- Kişiye özel tedavi planı
- Profesyonel lazer beyazlatma
- Hassasiyet yönetimi
- Sonrası bakım rehberliği
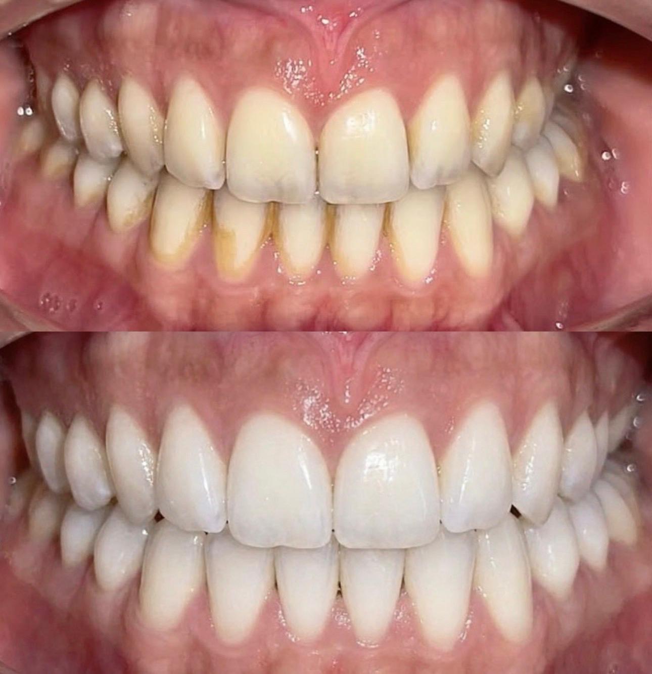
Farkı Görün
Sadece tek bir seansta belirgin ve doğal bir parlaklığa ulaşın. Gerçek hastalar, gerçek gülüşler.
Diş Beyazlatma Öncesi ve Sonrası Sonuçlar
Dönüşümünüze hazır mısınız?
WhatsApp ile Şimdi Randevu AlınBinlerce Kişinin Güvendiği
Konsültasyonunuzu Rezerve Edin
En parlak gülüşünüz için ilk adımı atın. WhatsApp üzerinden bize ulaşın; ekibimiz randevunuzu planlamanıza yardımcı olsun.
WhatsApp ile Şimdi Randevu AlınYa da bize mesaj gönderin
Hayalinizdeki Gülüşe Kavuşun
Uzman kadromuzla tanışmak ve tedavi seçeneklerinizi öğrenmek için hemen randevu alın.
Randevu Al